Phospho-BCL2 (Ser70) Recombinant monoclonal antibody proteintech 80771-2-RR

$449.00
In stock
SKU
80771-2-RR

 

BCL-2, BCL2, 230061A8

Host / Isotype: Rabbit / IgG Class: Recombinant
Reactivity: human Immunogen: Peptide Predict reactive species
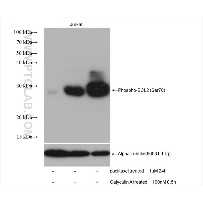
 Applications: WB, IHC, FC (Intra), ELISA Observed Molecular Weight: 26 kDa
Formulation: PBS, Azide, Glycerol GenBank Accession Number: BC027258
Conjugate: Unconjugated Gene Symbol: BCL2
Tested Applications: Positive WB detected in Gene ID (NCBI): 596
Application: Western Blot (WB) RRID: AB_3670487
Dilution: WB : 1:2000-1:10000 Conjugate: Unconjugated
Tested Reactivity: Human Form: Liquid
Host / Isotype: Rabbit / IgG Background Information: BCL2 belongs to the Bcl-2 family. The anti-apoptotic protein BCL2 can bind to the pro-apoptotic protein BAX or BAK1 to form heterodimers that modulate apoptosis. BCL2 phosphorylation at Ser70 enhances binding to BAX and BAD and is essential for its anti-apoptotic activity. Conversely, BCL2 also regulates autophagy via interaction with BECN1/Beclin 1; moreover, BCL2 phosphorylation including at Ser70 leads to its dissociation from BECN1 and induction of autophagy. These findings suggest that BCL2 regulates the balance between apoptosis and autophagy. (PMID: 29433359)

 

 

Reviews

Write Your Own Review
You're reviewing:Phospho-BCL2 (Ser70) Recombinant monoclonal antibody proteintech 80771-2-RR
Your Rating
Copyright © 2025 Biogege, Inc. All rights reserved.