MMP-9 (N-terminal) Polyclonal antibody Proteintech 10375-2-AP

$299.00
In stock
SKU
10375-2-AP

 

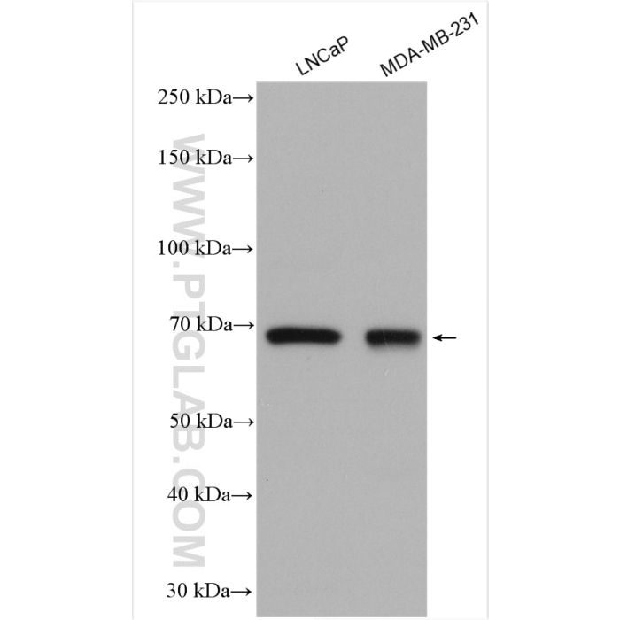
MMP9 (N-terminal), MMP9, 67 kDa matrix metalloproteinase-9, 82 kDa matrix metalloproteinase-9, CLG4B

Formulation::PBS, Azide, Glycerol Formulation::PBS, Azide, Glycerol1
Applications:Western Blot (WB) Formulation::PBS, Azide, Glycerol2
 Reactivity:Human, Mouse, Rat, Pig, Rabbit, Bovine, Hamster, Fish Formulation::PBS, Azide, Glycerol3
Type:Antibody Formulation::PBS, Azide, Glycerol4
RRID:BC006093 Formulation::PBS, Azide, Glycerol5
Storage Buffer:Unconjugated Formulation::PBS, Azide, Glycerol6
Background Information:Proteins of the matrix metalloproteinase (MMP) family are involved in the breakdown of extracellular matrix in normal physiological processes, such as embryonic development, reproduction, tissue remodeling, and disease processes, such as arthritis or metastasis. Most MMP's are secreted as inactive proproteins which are activated when cleaved by extracellular proteinases. Matrix metalloproteinase 9 (gelatinase B, 92 kDa gelatinase, 92 kDa type IV collagenase) (MMP9, synonyms: GELB, CLG4B) degrades collagens type IV and V. Studies in rhesus monkeys suggest that MMP9 is involved in IL-8-induced mobilization hematopoietic progenitor cells from bone marrow, and murine studies suggest a role in tumor-associated tissue remodeling. The pro-MMP9 is 92 kDa, and it can be detected a processed form of 68 kDa. This protein can exist as a dimer of 180 kDa (PMID:7492685). Formulation::PBS, Azide, Glycerol7
biogegep8 Formulation::PBS, Azide, Glycerol8
biogegep9 Formulation::PBS, Azide, Glycerol9
Formulation::PBS, Azide, Glycerol0 Applications:Western Blot (WB)0

 

 

Reviews

Write Your Own Review
You're reviewing:MMP-9 (N-terminal) Polyclonal antibody Proteintech 10375-2-AP
Your Rating
Copyright © 2025 Biogege, Inc. All rights reserved.