Osteopontin Recombinant monoclonal antibody proteintech 83341-1-RR

$449.00
In stock
SKU
83341-1-RR

 

OPN, SPP1, OPN, 240206A2, BNSP, Bone sialoprotein 1

Host / Isotype: Rabbit / IgG Class: Recombinant
Reactivity: human, mouse Immunogen: CatNo: Eg0754 Product name: Recombinant human OPN, SPP1 protein Source: mammalian cells-derived, pHZ-KIsec-C-6*HIS Tag: C-6*HIS Domain: 17-300 aa of BC007016 Sequence: IPVKQADSGSSEEKQLYNKYPDAVATWLNPDPSQKQNLLAPQTLPSKSNESHDHMDDMDDEDDDDHVDSQDSIDSNDSDDVDDTDDSHQSDESHHSDESDELVTDFPTDLPATEVFTPVVPTVDTYDGRGDSVVYGLRSKSKKFRRPDIQYPDATDEDITSHMESEELNGAYKAIPVAQDLNAPSDWDSRGKDSYETSQLDDQSAETHSHKQSRLYKRKANDESNEHSDVIDSQELSKVSREFHSHEFHSHEDMLVVDPKSKEEDKHLKFRISHELDSASSEVN Predict reactive species
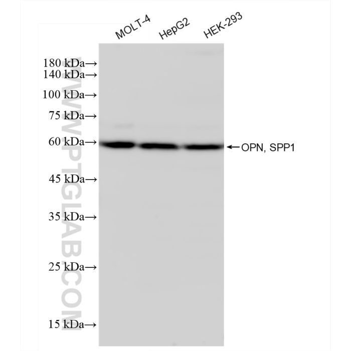
 Applications: WB, IHC, IF/ICC, FC (Intra), ELISA Observed Molecular Weight: 314 aa, 35 kDa
Formulation: PBS, Azide, Glycerol GenBank Accession Number: BC007016
Conjugate: Unconjugated Gene Symbol: Osteopontin
Tested Applications: Positive WB detected in Gene ID (NCBI): 6696
Application: Western Blot (WB) RRID: AB_3671001
Dilution: WB : 1:1000-1:6000 Conjugate: Unconjugated
Tested Reactivity: Human, Mouse Form: Liquid
Host / Isotype: Rabbit / IgG Background Information: Osteopontin (OPN), also known as SPP1, is a secreted glycophosphoprotein that belongs to the small integrin-binding ligand N-linked glycoprotein (SIBLING) family. Originally isolated from bone, OPN has been found in kidneys, vascular tissues, biological fluids, and various tumor tissues (PMID: 15138464; 16406521). OPN can interact with CD44 and integrins and regulate diverse biological processes. It has a multifaceted role in bone development and remodeling, and is also involved in the inflammatory and immune response, oncogenesis and cancer progression. The very acidic nature of OPN, as well as the presence of variable posttranslational modifications, has led to anomalous migration in SDS-polyacrylamide gels and therefore to reports of different molecular weights for OPN (PMID: 8293561). Depending on the cell and tissue source and/or the SDS-PAGE system, OPN migrates with a molecular weight of 44-80 kDa, as well as at some smaller bands corresponding to peptide fragments (PMID: 8195113; 17890765).

 

 

Reviews

Write Your Own Review
You're reviewing:Osteopontin Recombinant monoclonal antibody proteintech 83341-1-RR
Your Rating
Copyright © 2025 Biogege, Inc. All rights reserved.