Synaptophysin Monoclonal antibody proteintech 67864-1-Ig

$449.00
In stock
SKU
67864-1-Ig

 

SYP, 4E12C4, MRX96, SYN

Host / Isotype: Mouse / IgG1 Class: Monoclonal
Reactivity: human, mouse, rat, pig, rabbit Immunogen: CatNo: Ag11803 Product name: Recombinant human Synaptophysin; SYP protein Source: e coli.-derived, PET28a Tag: 6*His Domain: 50-313 aa of BC064550 Sequence: ELQLSVDCANKTESDLSIEVEFEYPFRLHQVYFDAPTCRGGTTKVFLVGDYSSSAEFFVTVAVFAFLYSMGALATYIFLQNKYRENNKGPMLDFLATAVFAFMWLVSSSAWAKGLSDVKMATDPENIIKEMPVCRQTGNTCKELRDLVTSGLNTSVVFGFLNLVLWVGNLWFVFKETGWAAPFLRAPPGAPEKQPAPGDAYGDAGYGQGPGGYGPQDSYGPQGGYQPDYGQPAGSGGSGYGPQGDYGQQGYGPQGAPTSFSNQM Predict reactive species
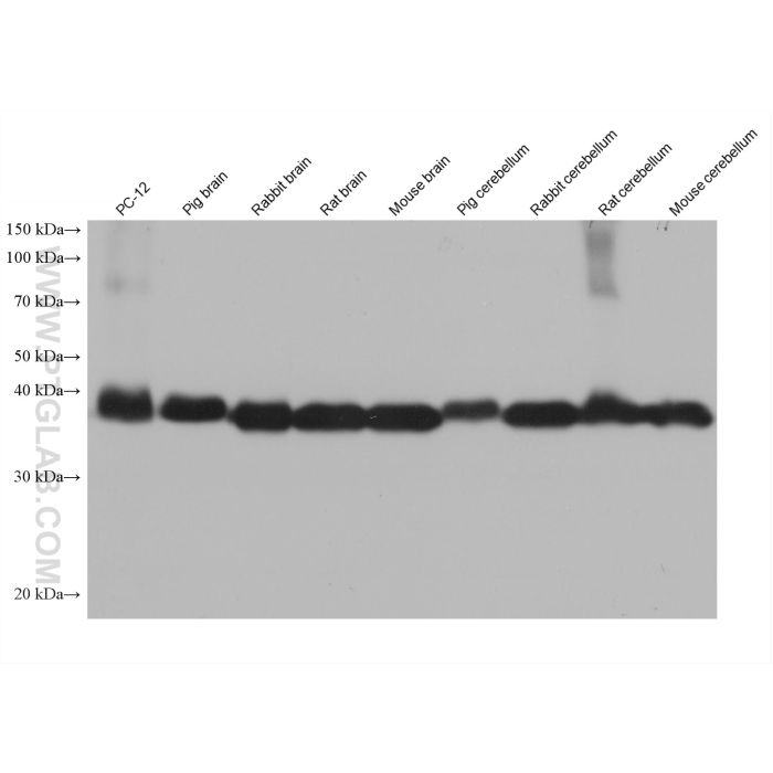
 Applications: WB, IHC, IF/ICC, IF-P, IF-Fro, ELISA Observed Molecular Weight: 313 aa, 34 kDa
Formulation: PBS, Azide, Glycerol GenBank Accession Number: BC064550
Conjugate: Unconjugated Gene Symbol: Synaptophysin
Tested Applications: Positive WB detected in Gene ID (NCBI): 6855
Application: Western Blot (WB) RRID: AB_2918622
Dilution: WB : 1:20000-1:100000 Conjugate: Unconjugated
Tested Reactivity: Human, Mouse, Rat, Pig, Rabbit Form: Liquid
Host / Isotype: Mouse / IgG1 Background Information: Synaptophysin (SYP, also known as major synaptic vesicle protein p38) is a 38-kDa integral membrane glycoprotein that regulates synaptic vesicle endocytosis. It is the most abundant synaptic vesicle protein by mass. Synaptophysin is present in neuroendocrine cells and neurons that participate in synaptic transmission. Synaptophysin is a useful marker for identification of neuroendocrine cells and neoplasms. (PMID: 3010302; 21658579)

 

 

Reviews

Write Your Own Review
You're reviewing:Synaptophysin Monoclonal antibody proteintech 67864-1-Ig
Your Rating
Copyright © 2025 Biogege, Inc. All rights reserved.