ATX3,ATXN3 Polyclonal antibody proteintech 13505-1-AP

$449.00
In stock
SKU
13505-1-AP

 

Host / Isotype: Rabbit / IgG Class: Polyclonal
Reactivity: Human, Mouse, Rat And More (2) Immunogen: CatNo: Ag4341 Product name: Recombinant human ATX3,ATXN3 protein Source: e coli.-derived, PGEX-4T Tag: GST Domain: 1-370 aa of BC033711 Sequence: MESIFHEKQEGSLCAQHCLNNLLQGEYFSPVELSSIAHQLDEEERMRMAEGGVTSEDYRTFLQQPSGNMDDSGFFSIQVISNALKVWGLELILFNSPEYQRLRIDPINERSFICNYKEHWFTVRKLGKQWFNLNSLLTGPELISDTYLALFLAQLQQEGYSIFVVKGDLPDCEADQLLQMIRVQQMHRPKLIGEELAQLKEQRVHKTDLERVLEANDGSGMLDEDEEDLQRALALSRQEIDMEDEEADLRRAIQLSMQGSSRNISQDMTQTSGTNLTSEELRKRREAYFEKQQQKQQQQQQQQQQQQQQQQQQQGDLSGQSSHPCERPATSSGALGSDLGDAMSEEDMLQAAVTMSLETVRNDLKTEGKK Predict reactive species
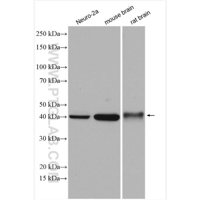
 Applications: WB, IHC, IF, IP, CoIP, ELISA Observed Molecular Weight: 370 aa, 43 kDa
Formulation: PBS, Azide, Glycerol GenBank Accession Number: BC033711
Conjugate: Unconjugated Gene Symbol: ATXN3
Tested Applications: Positive WB detected in Gene ID (NCBI): 4287
Application: Western Blot (WB) RRID: AB_2061192
Dilution: WB : 1:1000-1:4000 Conjugate: Unconjugated
Tested Reactivity: Human, Mouse, Rat Form: Liquid
Host / Isotype: Rabbit / IgG Background Information: ATXN3, which has deubiquitinase activity and act as a component of the ubiquitin proteasome system, plays a role in transcriptional regulation and neuroprotection. ATXN3 interacts with RAD23, HHR23A and HHR23B, involves in the pathology of MJD. ATXN3 is a mixed-linkage, chain-editing enzyme and that the UIM region of ATXN3 regulates its substrate specificity. Contains an N-terminal deubiquitinating domain, called the Josephin domain, followed by 2 ubiquitin-interacting motifs (UIMs) and a polyQ tract near the C terminus. ATXN3 can be phosphorylated in a protein casein kinase-2-dependent manner, thus the MW would be larger than the predicted one.

 

 

Reviews

Write Your Own Review
You're reviewing:ATX3,ATXN3 Polyclonal antibody proteintech 13505-1-AP
Your Rating
Copyright © 2025 Biogege, Inc. All rights reserved.