GLP1R Polyclonal antibody proteintech 26196-1-AP

$449.00
In stock
SKU
26196-1-AP

 

GLP 1 R, GLP 1 receptor, GLP 1R, GLP-1 receptor, GLP-1R

Host / Isotype: Rabbit / IgG Class: Polyclonal
Reactivity: human, mouse, rat Immunogen: CatNo: Ag23529 Product name: Recombinant human GLP1R protein Source: e coli.-derived, PET30a Tag: 6*His Domain: 26-145 aa of BC112126 Sequence: QGATVSLWETVQKWREYRRQCQRSLTEDPPPATDLFCNRTFDEYACWPDGEPGSFVNVSCPWYLPWASSVPQGHVYRFCTAEGLWLQKDNSSLPWRDLSECEESKRGERSSPEEQLLFLY Predict reactive species
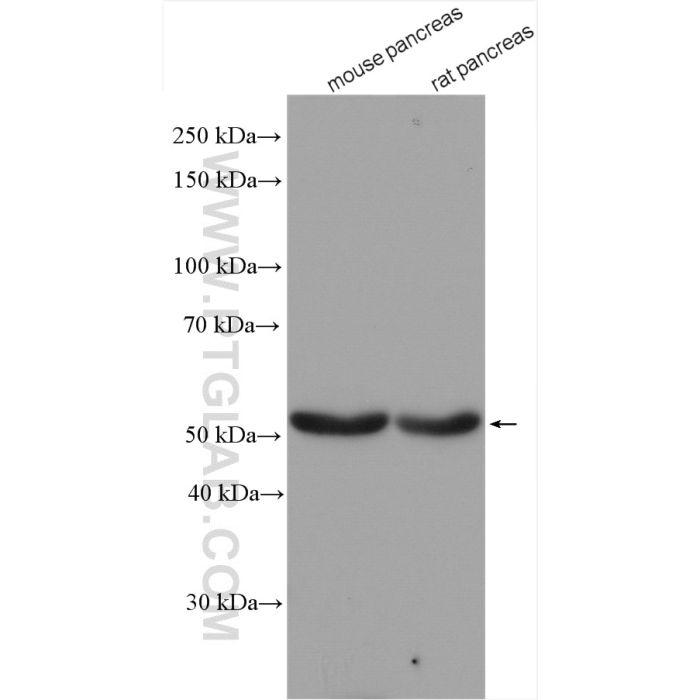
 Applications: WB, IHC, IF-P, IP, ELISA Observed Molecular Weight: 463 aa, 53 kDa
Formulation: PBS, Azide, Glycerol GenBank Accession Number: BC112126
Conjugate: Unconjugated Gene Symbol: GLP1R
Tested Applications: Positive WB detected in Gene ID (NCBI): 2740
Application: Western Blot (WB) RRID: AB_2880421
Dilution: WB : 1:500-1:2000 Conjugate: Unconjugated
Tested Reactivity: Human, Mouse, Rat Form: Liquid
Host / Isotype: Rabbit / IgG Background Information: GLP1R (glucagon-like peptide-1 receptor) is a G protein-coupled receptor belonging to the secretin receptor super-family, also known as class B (PMID:34911028). GLP1R is widely distributed in pancreatic islets, muscles, gastrointestinal tract, lung, liver, pancreas, and other tissues or organs (PMID:35989517). Moreover, GLP1R agonist has been reported to induce autophagy of EC (Endometrial carcinoma) cells, and high GLP1R expression may be associated with good prognosis of EC patients, suggesting that GLP1R is likely to participate in the progression of EC (PMID:29907137). Natural GLP-1R is known to be N-glycosylated at positions 63, 82 and 115kDa(PMID: 36769142). Moreover, regarding the molecular weight of GLP1R, research shows that the bands at ~50 kDa and ~100 kDa belong to the monomer and dimer states of GLP1R (PMID: 28609478).

 

 

Reviews

Write Your Own Review
You're reviewing:GLP1R Polyclonal antibody proteintech 26196-1-AP
Your Rating
Copyright © 2025 Biogege, Inc. All rights reserved.