PCSK9 Recombinant monoclonal antibody Proteintech 84172-4-RR

$299.00
In stock
SKU
84172-4-RR

 

241395G1, EC:3.4.21.-, FH3, HCHOLA3, LDLCQ1

Formulation::PBS, Azide, Glycerol Formulation::PBS, Azide, Glycerol1
Applications:Western Blot (WB) Formulation::PBS, Azide, Glycerol2
 Reactivity:Rabbit / IgG Formulation::PBS, Azide, Glycerol3
Type:CatNo: Eg0362 Product name: Recombinant Human PCSK9 protein (His Tag) Source: mammalian cells-derived, pHZ-KIsec-C-6*HIS Tag: C-6*HIS Domain: 31-692 aa of NM_174936.4 Sequence: QEDEDGDYEELVLALRSEEDGLAEAPEHGTTATFHRCAKDPWRLPGTYVVVLKEETHLSQSERTARRLQAQAARRGYLTKILHVFHGLLPGFLVKMSGDLLELALKLPHVDYIEEDSSVFAQSIPWNLERITPPRYRADEYQPPDGGSLVEVYLLDTSIQSDHREIEGRVMVTDFENVPEEDGTRFHRQASKCDSHGTHLAGVVSGRDAGVAKGASMRSLRVLNCQGKGTVSGTLIGLEFIRKSQLVQPVGPLVVLLPLAGGYSRVLNAACQRLARAGVVLVTAAGNFRDDACLYSPASAPEVITVGATNAQDQPVTLGTLGTNFGRCVDLFAPGEDIIGASSYCSTCFVSQSGTSQAAAHVAGIAAMMLSAEPELTLAELRQRLIHFSAKDVINEAWFPEDQRVLTPNLVAALPPSTHGAGWQLFCRTVWSAHSGPTRMATAVARCAPDEELLSCSSFSRSGKRRGERMEAQGGKLVCRAHNAFGGEGVYAIARCCLLPQANCSVHTAPPAEASMGTRVHCHQQGHVLTGCSSHWEVEDLGTHKPPVLRPRGQPNQCVGHREASIHASCCHAPGLECKVKEHGIPAPQEQVTVACEEGWTLTGCSALPGTSHVLGAYAVDNTCVVRSRDVSTTGSTSEGAVTAVAICCRSRHLAQASQELQ Predict reactive species Formulation::PBS, Azide, Glycerol4
RRID:PCSK9 Formulation::PBS, Azide, Glycerol5
Storage Buffer:Liquid Formulation::PBS, Azide, Glycerol6
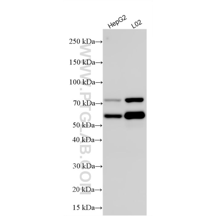
Background Information:Proprotein convertase subtilisin/kexin type 9 (PCSK9) is a crucial protein governing the circulating levels of low density lipoprotein-cholesterol (LDL-C), by virtue of its pivotal role in the degradation of the LDL receptor (LDLR). PCSK9 is expressed in the kidney and lung. It is synthesized as a 72 kDa immature precursor that undergoes autocatalytic cleavage in the endoplasmic reticulum to generate a 63 kDa mature protein. The cleaved N-terminal fragment remains associated with the mature protein and is necessary for its secretion, allowing it to circulate in the blood. The ability of PCSK9 to regulate a diverse group of cell-surface proteins hinted that it might also be able to influence additional membrane proteins that are important in anti-tumour immune responses. Targeting PCSK9 to treat cancer is also attractive because two neutralizing antibodies against it, evolocumab and alirocumab, have already been approved for human clinical use to lower cholesterol levels. (PMID: 30522786, PMID: 22493497) Formulation::PBS, Azide, Glycerol7
biogegep8 Formulation::PBS, Azide, Glycerol8
biogegep9 Formulation::PBS, Azide, Glycerol9
Formulation::PBS, Azide, Glycerol0 Applications:Western Blot (WB)0

 

 

Reviews

Write Your Own Review
You're reviewing:PCSK9 Recombinant monoclonal antibody Proteintech 84172-4-RR
Your Rating
Copyright © 2025 Biogege, Inc. All rights reserved.