G3BP1 Polyclonal antibody Proteintech 13057-2-AP

$299.00
In stock
SKU
13057-2-AP

 

ATP-dependent DNA helicase VIII, EC:3.6.4.12, G3BP, G3BP 1, G3BP-1

Formulation::PBS, Azide, Glycerol Formulation::PBS, Azide, Glycerol1
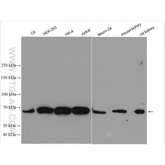
Applications:Western Blot (WB) Formulation::PBS, Azide, Glycerol2
 Reactivity:Human, Mouse, Rat, Pig, Monkey, Chicken, Zebrafish, Drosophila Melanogaster (Fruit Fly) Formulation::PBS, Azide, Glycerol3
Type:Antibody Formulation::PBS, Azide, Glycerol4
RRID:BC006997 Formulation::PBS, Azide, Glycerol5
Storage Buffer:Unconjugated Formulation::PBS, Azide, Glycerol6
Background Information:GAP SH3 Binding Protein 1 (G3BP1), also named as G3BP, is an effector of stress granule (SG) assembly. SG biology plays an important role in the pathophysiology of TDP-43 in ALS and FTLD-U. G3BP1 can be used as a marker of SG. It has been shown to function downstream of Ras and play a role in RNA metabolism, signal transduction, and proliferation. G3BP1 is a ubiquitously expressed protein that localizes to the cytoplasm in proliferating cells and to the nucleus in non-proliferating cells. G3BP1 has recently been implicated in cancer biology. Formulation::PBS, Azide, Glycerol7
biogegep8 Formulation::PBS, Azide, Glycerol8
biogegep9 Formulation::PBS, Azide, Glycerol9
Formulation::PBS, Azide, Glycerol0 Applications:Western Blot (WB)0

 

 

Reviews

Write Your Own Review
You're reviewing:G3BP1 Polyclonal antibody Proteintech 13057-2-AP
Your Rating
Copyright © 2025 Biogege, Inc. All rights reserved.