Anti-Human CD45RO (UCHL1) Mouse IgG2a Recombinant Antibody Proteintech 65613-1-MR

$299.00
In stock
SKU
65613-1-MR

 

CD45, EC:3.1.3.48, GP180, L CA, LCA

Formulation::PBS, Azide Formulation::PBS, Azide1
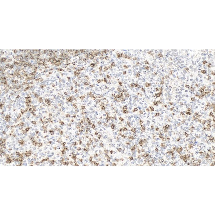
Applications:Immunohistochemistry (IHC) Formulation::PBS, Azide2
 Reactivity:Mouse / IgG2a Formulation::PBS, Azide3
Type:IL-2 dependent T cell line, CA1 Predict reactive species Formulation::PBS, Azide4
RRID:ENSG00000081237 Formulation::PBS, Azide5
Storage Buffer:Protein A purification Formulation::PBS, Azide6
Background Information:CD45, also known as protein tyrosine phosphatase, receptor type C, is a type I transmembrane protein expressed on the surface of all haematopoietic cells with the exception of erythrocytes and platelets (PMID: 3489673; 28615666). CD45 is a pan-haematopoietic cell marker and has been shown to be essential for T- and B-cell activation and signalling (PMID: 9429890; 16378097). CD45 exists as multiple isoforms due to alternative splicing of three exons (4, 5, and 6, designated A, B, and C) in the extracellular domain (PMID: 12414720). CD45RO is the shortest CD45 isoform (lacking all three exons) and is expressed by activated and memory T cells, thymocytes, some B cells, and weakly on granulocytes and macrophage (PMID: 27100180; 12414720). Formulation::PBS, Azide7
biogegep8 Formulation::PBS, Azide8
biogegep9 Formulation::PBS, Azide9
Formulation::PBS, Azide0 Applications:Immunohistochemistry (IHC)0

 

 

Reviews

Write Your Own Review
You're reviewing:Anti-Human CD45RO (UCHL1) Mouse IgG2a Recombinant Antibody Proteintech 65613-1-MR
Your Rating
Copyright © 2025 Biogege, Inc. All rights reserved.