IL-1 alpha Polyclonal antibody proteintech 16765-1-AP

$449.00
In stock
SKU
16765-1-AP

 

IL 1 alpha, IL1A, Hematopoietin-1, IL 1A, IL1 ALPHA

Host / Isotype: Rabbit / IgG Class: Polyclonal
Reactivity: Human And More (2) Immunogen: CatNo: Ag10339 Product name: Recombinant human IL-1 alpha protein Source: e coli.-derived, PGEX-4T Tag: GST Domain: 1-271 aa of BC013142 Sequence: MAKVPDMFEDLKNCYSENEEDSSSIDHLSLNQKSFYHVSYGPLHEGCMDQSVSLSISETSKTSKLTFKESMVVVATNGKVLKKRRLSLSQSITDDDLEAIANDSEEEIIKPRSAPFSFLSNVKYNFMRIIKYEFILNDALNQSIIRANDQYLTAAALHNLDEAVKFDMGAYKSSKDDAKITVILRISKTQLYVTAQDEDQPVLLKEMPEIPKTITGSETNLLFFWETHGTKNYFTSVAHPNLFIATKQDYWVCLAGGPPSITDFQILENQA Predict reactive species
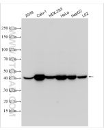
 Applications: WB, IHC, IF, ELISA Observed Molecular Weight: 271 aa, 31 kDa
Formulation: PBS, Azide, Glycerol GenBank Accession Number: BC013142
Conjugate: Unconjugated Gene Symbol: IL-1 alpha
Tested Applications: Positive WB detected in Gene ID (NCBI): 3552
Application: Western Blot (WB) RRID: AB_10641044
Dilution: WB : 1:500-1:2000 Conjugate: Unconjugated
Tested Reactivity: Human Form: Liquid
Host / Isotype: Rabbit / IgG Background Information: Interleukin-1α (IL-1 alpha) is a protein that plays a crucial role in the regulation of a number of key cellular processes. IL-1 Alpha is a cytokine and a potent mediator of body's response to inflammation, microbial invasion, tissue injury and immunological response. In addition, recent studies suggest that IL-1 Alpha also has a role in wound healing, rheumatoid arthritis, Alzheimer's disease and tumor growth. IL-1 Alpha functions as an alarmin during the process of sterile inflammation. It serves as a signal from dying cells to potentiate the inflammatory response, increasing the expression of other secreted factors like IL-6 and IL-8. IL-1 Alpha was found to affect the cell cycle of osteosarcoma cell to reduce cell growth. IL-1 Alpha is initially translated as approximately 30-kD polypeptides that are processed to approximately 17.5-kD polypeptides prior to, or during, release from macrophages.

 

 

Reviews

Write Your Own Review
You're reviewing:IL-1 alpha Polyclonal antibody proteintech 16765-1-AP
Your Rating
Copyright © 2025 Biogege, Inc. All rights reserved.