SPHK2 Polyclonal antibody proteintech 17096-1-AP

$449.00
In stock
SKU
17096-1-AP

 

EC:2.7.1.91, SK 2, SK-2, Sphingosine kinase 2, SPK 2

Host / Isotype: Rabbit / IgG Class: Polyclonal
Reactivity: Human, Mouse, Rat And More (1) Immunogen: CatNo: Ag10569 Product name: Recombinant human SPHK2 protein Source: e coli.-derived, PGEX-4T Tag: GST Domain: 266-618 aa of BC010671 Sequence: LNCSLLLCRGGGHPLDLLSVTLASGSRCFSFLSVAWGFVSDVDIQSERFRALGSARFTLGTVLGLATLHTYRGRLSYLPATVEPASPTPAHSLPRAKSELTLTPDPAPPMAHSPLHRSVSDLPLPLPQPALASPGSPEPLPILSLNGGGPELAGDWGGAGDAPLSPDPLLSSPPGSPKAALHSPVSEGAPVIPPSSGLPLPTPDARVGASTCGPPDHLLPPLGTPLPPDWVTLEGDFVLMLAISPSHLGADLVAAPHARFDDGLVHLCWVRSGISRAALLRLFLAMERGSHFSLGCPQLGYAAARAFRLEPLTPRGVLTVDGEQVEYGPLQAQMHPGIGTLLTGPPGCPGREP Predict reactive species
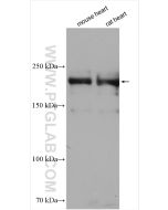
 Applications: WB, IHC, IF/ICC, FC (Intra), IP, CoIP, ELISA Observed Molecular Weight: 618 aa, 65 kDa
Formulation: PBS, Azide, Glycerol GenBank Accession Number: BC010671
Conjugate: Unconjugated Gene Symbol: SPHK2
Tested Applications: Positive WB detected in Gene ID (NCBI): 56848
Application: Western Blot (WB) RRID: AB_10598479
Dilution: WB : 1:1000-1:6000 Conjugate: Unconjugated
Tested Reactivity: Human, Mouse, Rat Form: Liquid
Host / Isotype: Rabbit / IgG Background Information: SPHK2(Sphingosine kinase 2) is also named as SK2, SPK2 and catalyzes the phosphorylation of sphingosine to form sphingosine 1-phosphate (SPP), a lipid mediator with both intra- and extracellular functions. SPHK2 associates with HDAC1 and HDAC2 in repressor complexes and is selectively enriched at the promoters of the genes encoding the cyclin-dependent kinase inhibitor p21 or the transcriptional regulator c-fos, where it enhanced local histone H3 acetylation and transcription.SphK2 is a ~66kDa protein that is most abundantly expressed in the liver and heart(PMID:19168577). SphK2 has two splice variants, which are the 68-kDa SphK2-S and the NH2-terminal extended 72-kDa SphK2-L (PMID:17974990).

 

 

Reviews

Write Your Own Review
You're reviewing:SPHK2 Polyclonal antibody proteintech 17096-1-AP
Your Rating
Copyright © 2025 Biogege, Inc. All rights reserved.