SMCR7L/MID51 Polyclonal antibody proteintech 20164-1-AP

$449.00
In stock
SKU
20164-1-AP

 

HSU79252, MID51, MIEF1, SMCR7L, SMCR7L/MID51

Host / Isotype: Rabbit / IgG Class: Polyclonal
Reactivity: human, mouse, rat and More (2) Immunogen: CatNo: Ag13775 Product name: Recombinant human SMCR7L protein Source: e coli.-derived, PET28a Tag: 6*His Domain: 1-359 aa of BC002587 Sequence: FDTDTFCPPRPKPVARKGQVDLKKSRLRMSLQEKLLTYYRNRAAIPAGEQARAKQAAVDICAELRSFLRAKLPDMPLRDMYLSGSLYDDLQVVTADHIQLIVPLVLEQNLWSCIPGEDTIMNVPGFFLVRRENPEYFPRGSSYWDRCVVGGYLSPKTVADTFEKVVAGSINWPAIGSLLDYVIRPAPPPEALTLEVQYERDKHLFIDFLPSVTLGDTVLVAKPHRLAQYDNLWRLSLRPAETARLRALDQADSGCRSLCLKILKAICKSTPALGHLTASQLTNVILHLAQEEADWSPDMLADRFLQALRGLISYLEAGVLPSALNPKVNLFAELTPEEIDELGYTLYCSLSEPEVLLQT Predict reactive species
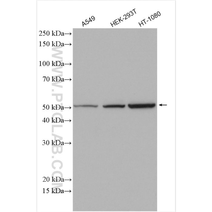
 Applications: WB, IHC, IF, IP, ELISA Observed Molecular Weight: 463 aa, 51 kDa
Formulation: PBS, Azide, Glycerol GenBank Accession Number: BC002587
Conjugate: Unconjugated Gene Symbol: SMCR7L
Tested Applications: Positive WB detected in Gene ID (NCBI): 54471
Application: Western Blot (WB) RRID: AB_10639522
Dilution: WB : 1:500-1:2000 Conjugate: Unconjugated
Tested Reactivity: human, mouse, rat Form: Liquid
Host / Isotype: Rabbit / IgG Background Information: Human SMCR7L gene encodes, MID51, the mitochondrial dynamic protein of 51 kDa (also called mitochondrial elongation factor 1, MIEF1). MID51 is a single-pass membrane protein anchored to the mitochondrial outer membrane and regulates mitochondrial morphology. Mitochondrial morphology is controlled by two opposing processes: fusion and fission. Elevated MID51 levels induce extensive mitochondrial fusion, whereas depletion of MID51 causes mitochondrial fragmentation. MID51 interacts with and recruits Drp1 to mitochondria, suggesting a critical role of MID51 in regulation of mitochondrial fusion-fission machinery in vertebrates.

 

 

Reviews

Write Your Own Review
You're reviewing:SMCR7L/MID51 Polyclonal antibody proteintech 20164-1-AP
Your Rating
Copyright © 2025 Biogege, Inc. All rights reserved.