Phospho-JUN (Ser73) Recombinant monoclonal antibody proteintech 80086-1-RR

$449.00
In stock
SKU
80086-1-RR

 

JUN (Ser73), JUN (Thr91/93), p JUN , p JUN (Ser73), p JUN (Thr91/93)

Host / Isotype: Rabbit / IgG Class: Recombinant
Reactivity: Human, Mouse And More (2) Immunogen: Peptide Predict reactive species
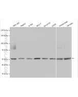
 Applications: WB, IHC, IF/ICC, FC (Intra), ELISA, ChIP-qPCR Observed Molecular Weight: 331 aa, 36 kDa
Formulation: PBS, Azide, Glycerol GenBank Accession Number: BC068522
Conjugate: Unconjugated Gene Symbol: JUN
Tested Applications: Positive WB detected in Gene ID (NCBI): 3725
Application: Western Blot (WB) RRID: AB_3085353
Dilution: WB : 1:2000-1:10000 Conjugate: Unconjugated
Tested Reactivity: Human, Mouse Form: Liquid
Host / Isotype: Rabbit / IgG Background Information: JUN, the most extensively studied protein of the activator protein-1 (AP-1) complex, is involved in numerous cell activities, such as proliferation, apoptosis, survival, tumorigenesis and tissue morphogenesis (PMID: 22180088). JUN is a transcription factor that recognizes and binds to the enhancer heptamer motif 5'-TGA[CG]TCA-3'. It promotes activity of NR5A1 when phosphorylated by HIPK3 leading to increased steroidogenic gene expression upon cAMP signaling pathway stimulation. JUN is a basic leucine zipper (bZIP) transcription factor that acts as homo- or heterodimer, binding to DNA and regulating gene transcription (PMID: 9732876). In additon, extracellular signals can induce post-translational modifications of JUN, resulting in altered transcriptional activity and target gene expression (PMID:8464713). More over, it has uncovered multiple layers of a complex regulatory scheme in which JUN is able to crosstalk, amplify and integrate different signals for tissue development and disease. Jun is predominantly nuclear, ubiquitinated Jun colocalizes with lysosomal proteins (PMID: 15469925). This antibody is raised against synthetic phosphopeptide corresponding to residues surrounding Ser73 of human JUN, which can detect the bands around 42-45 kDa.

 

 

Reviews

Write Your Own Review
You're reviewing:Phospho-JUN (Ser73) Recombinant monoclonal antibody proteintech 80086-1-RR
Your Rating
Copyright © 2025 Biogege, Inc. All rights reserved.