MMP7 Polyclonal antibody proteintech 10374-2-AP

$449.00
In stock
SKU
10374-2-AP

 

MMP 7, Matrix metalloproteinase-7, Matrix metalloproteinase 7, Matrin, Matrilysin

Host / Isotype: Rabbit / IgG Class: Polyclonal
Reactivity: Human, Mouse And More (2) Immunogen: CatNo: Ag0550 Product name: Recombinant human MMP7 protein Source: e coli.-derived, PGEX-4T Tag: GST Domain: 1-100 aa of BC003635 Sequence: MRLTVLCAVCLLPGSLALPLPQEAGGMSELQWEQAQDYLKRFYLYDSETKNANSLEAKLKEMQKFFGLPITGMLNSHVIEIMQKPRCGVPDVAEYSLFPN Predict reactive species
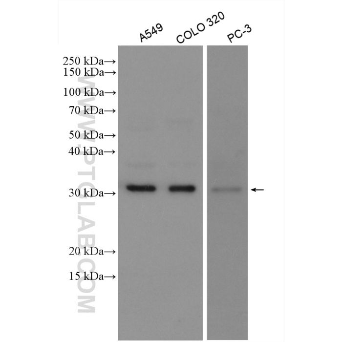
 Applications: WB, IHC, IF/ICC, IF-P, ELISA Observed Molecular Weight: 29 kDa
Formulation: PBS, Azide, Glycerol GenBank Accession Number: BC003635
Conjugate: Unconjugated Gene Symbol: MMP7
Tested Applications: Positive WB detected in Gene ID (NCBI): 4316
Application: Western Blot (WB) RRID: AB_2144452
Dilution: WB : 1:1000-1:4000 Conjugate: Unconjugated
Tested Reactivity: Human, Mouse Form: Liquid
Host / Isotype: Rabbit / IgG Background Information: Matrix metalloproteinase-7 (MMP-7)/ matrilysin is a member of the MMP family, but is structurally different from the other MMPs by virtue of the absence of a conserved COOH-terminal protein domain. MMPs are involved in the breakdown of extracellular matrix in normal physiological processes, such as embryonic development reproduction, and tissue remodeling, as well as in disease processes, such as arthritis and cancer metastasis. Most MMP's are secreted as inactive proproteins which are activated when cleaved by extracellular proteinases. MMP-7 degrades proteoglycans, fibronectin, elastin and casein, and is involved in wound healing, tumor progression, pulmonary fibrosis, and development of choroidal neovascularization in age-related macular degeneration. The expression of MMP-7 is increased in most tumors. This antibody can only recognize the full-length of MMP7.

 

 

Reviews

Write Your Own Review
You're reviewing:MMP7 Polyclonal antibody proteintech 10374-2-AP
Your Rating
Copyright © 2025 Biogege, Inc. All rights reserved.