TDP-43 (N-terminal) Recombinant monoclonal antibody proteintech 80001-1-RR

$449.00
In stock
SKU
80001-1-RR

 

TDP-43(N-terminal), TARDBP, TDP 43, TDP43, TDP-43

Host / Isotype: Rabbit / IgG Class: Recombinant
Reactivity: human, mouse, rat Immunogen: Recombinant protein Predict reactive species
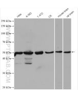
 Applications: WB, IHC, IF-P, FC (Intra), IP, ELISA Observed Molecular Weight: 43 kDa
Formulation: PBS, Azide, Glycerol GenBank Accession Number: BC001487
Conjugate: Unconjugated Gene Symbol: TDP-43
Tested Applications: Positive WB detected in Gene ID (NCBI): 23435
Application: Western Blot (WB) RRID: AB_2882933
Dilution: WB : 1:20000-1:100000 Conjugate: Unconjugated
Tested Reactivity: Human, Mouse, Rat Form: Liquid
Host / Isotype: Rabbit / IgG Background Information: The TARDBP gene encodes the TDP-43 protein, initially found to repress HIV-1 transcription by binding TAR DNA. TDP-43 has since been shown to bind RNA as well as DNA, and have multiple functions in transcriptional repression, translational regulation and pre-mRNA splicing. For instance, it is reported to regulate alternate splicing of the CTFR gene. In 2006 Neumann et al. found that hyperphosphorylated, ubiquitinated and/or cleaved forms of TDP-43, collectively known as pathological TDP-43, play a major role in the disease mechanisms of ubiquitin-positive, tau- and alpha-synuclein-negative frontotemporal dementia (FTLD-U) and in amyotrophic lateral sclerosis (ALS). Proteintech's 80001-1-RR is a rabbit recombinant TDP-43 antibody recognizing N-terminal TDP-43. It recognizes the intact 43 kDa protein as well as all posttranslationally modified and truncated forms in multiple applications. Various forms of TDP-43 exist, including 18-35 kDa of cleaved C-terminal fragments, 45-50 kDa phospho-protein, 55 kDa glycosylated form, 75 kDa hyperphosphorylated form, and 90-300 kDa cross-linked form. (PMID: 17023659, 19823856, 21666678, 22193176) Recently TDP-43 has been reported to be overexpressed in triple negative breast cancer (TNBC) and it may be a potential target for TNBC diagnosis and drug design. (PMID: 29581274). 80001-1-RR can be used in WB, IHC, IHF. For the ICC (IF with cells) experiment, the results will be better with ethanol fixed cell and dilution 1:50 or 1:100. Another antibody with CatNo. 80002-1-RR is recommended for IF or ICC experiment.

 

 

Reviews

Write Your Own Review
You're reviewing:TDP-43 (N-terminal) Recombinant monoclonal antibody proteintech 80001-1-RR
Your Rating
Copyright © 2025 Biogege, Inc. All rights reserved.