OPTN/Optineurin Polyclonal antibody proteintech 10837-1-AP

$449.00
In stock
SKU
10837-1-AP

 

Optineurin, OPTN, ALS12, E3-14.7K-interacting protein, FAA4

Host / Isotype: Rabbit / IgG Class: Polyclonal
Reactivity: Human, Mouse, Rat And More (3) Immunogen: CatNo: Ag1272 Product name: Recombinant human OPTN protein Source: e coli.-derived, PGEX-4T Tag: GST Domain: 233-577 aa of BC013876 Sequence: VSQLLLCLREGNQKVERLEVALKEAKERVSDFEKKTSNRSEIETQTEGSTEKENDEEKGPETVGSEVEALNLQVTSLFKELQEAHTKLSEAELMKKRLQEKCQALERKNSAIPSELNEKQELVYTNKKLELQVESMLSEIKMEQAKTEDEKSKLTVLQMTHNKLLQEHNNALKTIEELTRKESEKVDRAVLKELSEKLELAEKALASKQLQMDEMKQTIAKQEEDLETMTILRAQMEVYCSDFHAERAAREKIHEEKEQLALQLAVLLKENDAFEDGGRQSLMEMQSRHGARTSDSDQQAYLVQRGAEDRDWRQQRNIPIHSCPKCGEVLPDIDTLQIHVMDCII Predict reactive species
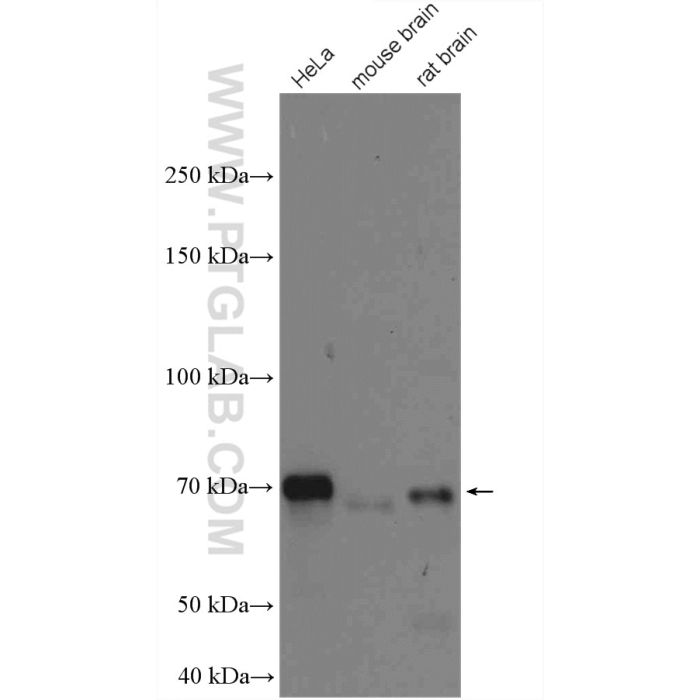
 Applications: WB, IHC, IF/ICC, IF-P, FC (Intra), IP, CoIP, ELISA Observed Molecular Weight: 66 kDa
Formulation: PBS, Azide, Glycerol GenBank Accession Number: BC013876
Conjugate: Unconjugated Gene Symbol: OPTN
Tested Applications: Positive WB detected in Gene ID (NCBI): 10133
Application: Western Blot (WB) RRID: AB_2156665
Dilution: WB : 1:5000-1:50000 Conjugate: Unconjugated
Tested Reactivity: Human, Mouse, Rat Form: Liquid
Host / Isotype: Rabbit / IgG Background Information: OPTN, also named as FIP2, GLC1E, HIP7, HYPL and NRP, plays a neuroprotective role in the eye and optic nerve. It is probably part of the TNF-alpha signaling pathway that can shift the equilibrium toward induction of cell death. OPTN may act by regulating membrane trafficking and cellular morphogenesis via a complex that contains Rab8 and hungtingtin (HD). OPTN may constitute a cellular target for adenovirus E3 14.7, an inhibitor of TNF-alpha functions, thereby affecting cell death. Defects in OPTN are a cause of susceptibility to normal pressure glaucoma (NPG). OPTN mutated in adult-onset primary open angle glaucoma. It supports the protective role of OPTN in the trabecular meshwork. OPTN has 3 isoforms with MW 66,65 and 60 kDa (refer to UniProt). Catalog#10837-1-AP recognises 66 and 70-74 kDa band, and the additional 70-74 kDa band due to phosphorylation.

 

 

Reviews

Write Your Own Review
You're reviewing:OPTN/Optineurin Polyclonal antibody proteintech 10837-1-AP
Your Rating
Copyright © 2025 Biogege, Inc. All rights reserved.