MFF Polyclonal antibody proteintech 17090-1-AP

$449.00
In stock
SKU
17090-1-AP

 

AD033, C2orf33, GL004, Mitochondrial fission factor

Host / Isotype: Rabbit / IgG Class: Polyclonal
Reactivity: Human, Mouse, Rat And More (5) Immunogen: CatNo: Ag9990 Product name: Recombinant human MFF protein Source: e coli.-derived, PGEX-4T Tag: GST Domain: 1-238 aa of BC000797 Sequence: MAEISRIQYEMEYTEGISQRMRVPEKLKVAPPNADLEQGFQEGVPNASVIMQVPERIVVAGNNEDVSFSRPADLDLIQSTPFKPLALKTPPRVLTLSERPLDFLDLERPPTTPQNEEIRAVGRLKRERSMSENAVRQNGQLVRNDSLPVLRGGSAAATSNPHHDNVRYGISNIDTTIEGTSDDLTVVDAASLRRQIIKLNRRLQLLEEENKERAKREMVMYSITVAFWLLNSWLWFRR Predict reactive species
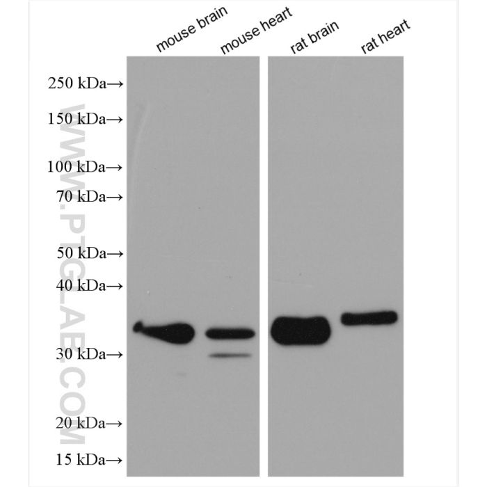
 Applications: WB, IHC, IF/ICC, IP, ELISA Observed Molecular Weight: 38 kDa
Formulation: PBS, Azide, Glycerol GenBank Accession Number: BC000797
Conjugate: Unconjugated Gene Symbol: MFF
Tested Applications: Positive WB detected in Gene ID (NCBI): 56947
Application: Western Blot (WB) RRID: AB_2142463
Dilution: WB : 1:5000-1:50000 Conjugate: Unconjugated
Tested Reactivity: Human, Mouse, Rat Form: Liquid
Host / Isotype: Rabbit / IgG Background Information: MFF (mitochondrial fission factor) is a mitochondrial outer membrane protein that is involved in mitochondrial localization of Drp1 and mitochondrial fission. Multiple isoforms of MFF exist due to the alternative splicing. This antibody recognizes the endogenous MFF protein around 26-29 kDa and 35-38 kDa.

 

 

Reviews

Write Your Own Review
You're reviewing:MFF Polyclonal antibody proteintech 17090-1-AP
Your Rating
Copyright © 2025 Biogege, Inc. All rights reserved.