Gamma Cystathionase Polyclonal antibody proteintech 12217-1-AP

$449.00
In stock
SKU
12217-1-AP

 

CSE, CGL, CTH, Cystathionine gamma-lyase, EC:4.4.1.1

Host / Isotype: Rabbit / IgG Class: Polyclonal
Reactivity: Human, Mouse, Rat, Pig, Canine And More (1) Immunogen: CatNo: Ag2872 Product name: Recombinant human CSE protein Source: e coli.-derived, PGEX-4T Tag: GST Domain: 74-406 aa of BC015807 Sequence: AVAALDGAKYCLAFASGLAATVTITHLLKAGDQIICMDDVYGGTNRYFRQVASEFGLKISFVDCSKIKLLEAAITPETKLVWIETPTNPTQKVIDIEGCAHIVHKHGDIILVVDNTFMSPYFQRPLALGADISMYSATKYMNGHSDVVMGLVSVNCESLHNRLRFLQNSLGAVPSPIDCYLCNRGLKTLHVRMEKHFKNGMAVAQFLESNPWVEKVIYPGLPSHPQHELVKRQCTGCTGMVTFYIKGTLQHAEIFLKNLKLFTLAESLGGFESLAELPAIMTHASVLKNDRDVLGISDTLIRLSVGLEDEEDLLEDLDQALKAAHPPSGSHS Predict reactive species
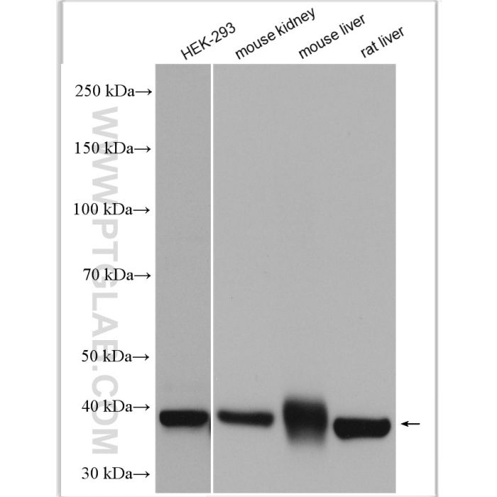
 Applications: WB, IHC, IF/ICC, IF-P, FC (Intra), IP, CoIP, ELISA Observed Molecular Weight: 405 aa, 45 kDa
Formulation: PBS, Azide, Glycerol GenBank Accession Number: BC015807
Conjugate: Unconjugated Gene Symbol: Gamma Cystathionase
Tested Applications: Positive WB detected in Gene ID (NCBI): 1491
Application: Western Blot (WB) RRID: AB_2087497
Dilution: WB : 1:5000-1:20000 Conjugate: Unconjugated
Tested Reactivity: Human, Mouse, Rat, Pig, Canine Form: Liquid
Host / Isotype: Rabbit / IgG Background Information: CTH, also named as Gamma-cystathionase and CSE, belongs to the transsulfuration enzymes family. It catalyzes the last step in the transsulfuration pathway from methionine to cysteine. CTH converts two cysteine molecules to lanthionine and hydrogen sulfide. CTH can also accept homocysteine as substrate. It specificity depends on the levels of the endogenous substrates. CTH is the major H2S-producing enzyme in kidney, liver, vascular smooth muscle cells and enterocytes. The endogenous production of H2S plays a significant role in the regulation of cellular functions, including cell growth, hyperpolarization of cell membranes, modulation of neuronal excitability and relaxation of smooth muscle cells. The CSE/H2S pathway is upregulated in the heart in a murine model of CVB3-induced myocarditis and that inhibition of endogenous H2S is beneficial to treatment early in the disease while administration of exogenous H2S is protective to infected myocardium during the later stage. Mutations in the gene encoding CTH can result in the autosomal recessive disease cystathioninuria; a disorder characterized by the unusual accumulation of plasma cystathionine causing increased urinary excretion. Both male and female CTH-null mice showed hypercystathioninemia and hyperhomocysteinemia, but not hypermethioninemia. CSE has also been reported to be expressed in endothelial cells and contribute to endothelium-dependent vasorelaxation. It can be detected a minor 36 kDa band probably representing a degradative intermediate except the major 43 kDa band in vitamin B6-deficient rat liver(PMID:8660672). CTH also can be detected as ~70kD in rat liver (PMID: 18974309). This antibody is a rabbit polyclonal antibody raised against residues near the C terminus of human CTH.

 

 

Reviews

Write Your Own Review
You're reviewing:Gamma Cystathionase Polyclonal antibody proteintech 12217-1-AP
Your Rating
Copyright © 2025 Biogege, Inc. All rights reserved.