MPO Polyclonal antibody proteintech 22225-1-AP

$449.00
In stock
SKU
22225-1-AP

 

EC:1.11.2.2, myeloperoxidase

Host / Isotype: Rabbit / IgG Class: Polyclonal
Reactivity: Human, Mouse, Rat And More (2) Immunogen: CatNo: Ag17564 Product name: Recombinant human MPO protein Source: e coli.-derived, PGEX-4T Tag: GST Domain: 606-657 aa of BC130476 Sequence: CGLPQPETVGQLGTVLRNLKLARKLMEQYGTPNNIDIWMGGVSEPLKRKGRV Predict reactive species
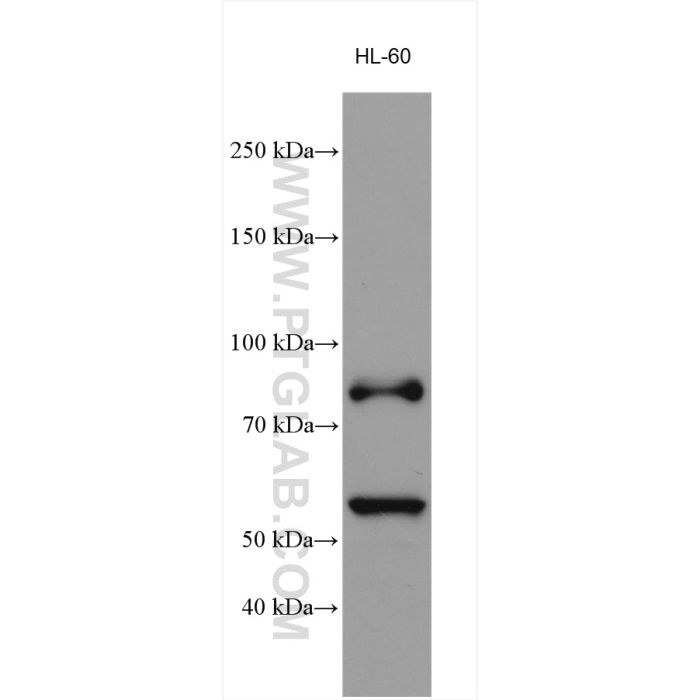
 Applications: WB, IHC, IF-P, IP, ELISA Observed Molecular Weight: 745 aa, 84 kDa
Formulation: PBS, Azide, Glycerol GenBank Accession Number: BC130476
Conjugate: Unconjugated Gene Symbol: MPO
Tested Applications: Positive WB detected in Gene ID (NCBI): 4353
Application: Western Blot (WB) RRID: AB_2879037
Dilution: WB : 1:1000-1:6000 Conjugate: Unconjugated
Tested Reactivity: Human, Mouse, Rat Form: Liquid
Host / Isotype: Rabbit / IgG Background Information: The MPO gene encodes myeloperoxidase, a lysosomal hemoprotein located in the azurophilic granules of polymorphonuclear (PMN) leukocytes and monocytes. In response to stimulation, MPO is activated into a transient intermediate with potent antimicrobial oxidizing abilities(PMID:17650507). The mRNA is translated into a single protein of 90 kDa, which displays enzymatic activity and undergoes proteolytic maturation into a heavy chain of 59 kDa and a light chain of 13.5 kDa; these subunits then dimerize into the mature tetramer and the mature MPO is a heterotetramer composed of two identical heavy chains and two identical light chains(PMID:12773517). Fragments with molecular masses of 43-47 kDa were formed by autocatalysis during warming in sample buffer (PMID:12960244). The 24-kDa material had a map identical to that of 13.5 kDa subunit and represents a dimer of the 13.5 kDa subunit (PMID:3008892). Defects in MPO are the cause of myeloperoxidase deficiency (MPOD). It has 3 isoforms produced by alternative splicing. This antibody is specific to MPO.

 

 

Reviews

Write Your Own Review
You're reviewing:MPO Polyclonal antibody proteintech 22225-1-AP
Your Rating
Copyright © 2025 Biogege, Inc. All rights reserved.