BrdU Monoclonal antibody proteintech 66241-1-Ig

$189.00
In stock
SKU
66241-1-Ig

 

5-bromo-2-deoxyuridine, BrdUrd, Bromodeoxyuridine, BUdR

Host / Isotype: Mouse / IgG2a Class: Monoclonal
Reactivity: Human, Mouse, Rat And More (1) Immunogen: Small molecule Predict reactive species
 Applications: WB, IHC, IF/ICC, ELISA
Formulation: PBS, Azide, Glycerol GenBank Accession Number: AB_2881630
Conjugate: Unconjugated Gene Symbol: Unconjugated
Tested Applications: Positive IHC detected in Gene ID (NCBI): Liquid
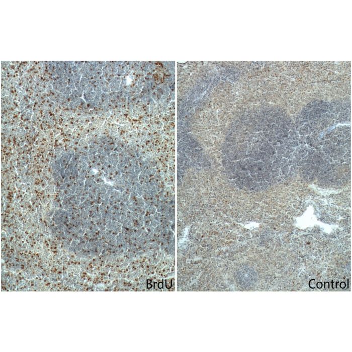
Application: Immunohistochemistry (IHC) RRID: Protein A purification
Dilution: IHC : 1:200-1:800 Conjugate: PBS with 0.02% sodium azide and 50% glycerol, pH 7.3.
Tested Reactivity: Human, Mouse, Rat Form: Store at -20°C. Stable for one year after shipment. Aliquoting is unnecessary for -20oC storage. 20ul sizes contain 0.1% BSA.
Host / Isotype: Mouse / IgG2a Background Information: Bromodeoxyuridine (5-bromo-2'-deoxyuridine, BrdU, BUdR, BrdUrd) is a synthetic nucleoside that is an analog of thymidine. It can be incorporated into the newly synthesized DNA of replicating cells (during the S phase of the cell cycle), substituting for thymidine during DNA replication. As such, BrdU is used for birth dating and monitoring cell proliferation. BrdU is a toxic and mutagenic substance. It triggers cell death, the formation of teratomas, alters DNA stability, lengthens the cell cycle, and has 0mitogenic, transcriptional and translational effects on cells that incorporate it. This antibody does not cross react with Thymidine. Protocol for IHC: https://www.ptgcn.com/protocol/66241-1-IgIHC.pdf Protocol for IF: https://www.ptgcn.com/protocol/66241-1-IgIF.pdf

 

 

Reviews

Write Your Own Review
You're reviewing:BrdU Monoclonal antibody proteintech 66241-1-Ig
Your Rating
Copyright © 2025 Biogege, Inc. All rights reserved.