PCNA Monoclonal antibody proteintech 60097-1-Ig

$189.00
In stock
SKU
60097-1-Ig

 

10D10E11, Cyclin, proliferating cell nuclear antigen

Host / Isotype: Mouse / IgG1 Class: Monoclonal
Reactivity: Human, Mouse, Rat, Pig And More (2) Immunogen: CatNo: Ag7416 Product name: Recombinant human PCNA protein Source: e coli.-derived, PET28a Tag: 6*His Domain: 8-256 aa of BC000491 Sequence: QGSILKKVLEALKDLINEACWDISSSGVNLQSMDSSHVSLVQLTLRSEGFDTYRCDRNLAMGVNLTSMSKILKCAGNEDIITLRAEDNADTLALVFEAPNQEKVSDYEMKLMDLDVEQLGIPEQEYSCVVKMPSGEFARICRDLSHIGDAVVISCAKDGVKFSASGELGNGNIKLSQTSNVDKEEEAVTIEMNEPVQLTFALRYLNFFTKATPLSSTVTLSMSADVPLVVEYKIADMGHLKYYLAPKIE Predict reactive species
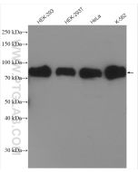
 Applications: WB, IHC, IF/ICC, IP, CoIP, ELISA Observed Molecular Weight: 29 kDa/31 kDa
Formulation: PBS, Azide, Glycerol GenBank Accession Number: BC000491
Conjugate: Unconjugated Gene Symbol: PCNA
Tested Applications: Positive WB detected in Gene ID (NCBI): 5111
Application: Western Blot (WB) RRID: AB_2236728
Dilution: WB : 1:5000-1:50000 Conjugate: Unconjugated
Tested Reactivity: Human, Mouse, Rat, Pig Form: Liquid
Host / Isotype: Mouse / IgG1 Background Information: Proliferating Cell Nuclear Antigen, commonly known as PCNA, is a protein that acts as a processivity factor for DNA polymerase δ in eukaryotic cells. This protein is an auxiliary protein of DNA polymerase delta and is involved in the control of eukaryotic DNA replication by increasing the polymerase's processibility during elongation of the leading strand. PCNA induces a robust stimulatory effect on the 3'-5' exonuclease and 3'-phosphodiesterase, but not apurinic-apyrimidinic (AP) endonuclease, APEX2 activities. It has to be loaded onto DNA in order to be able to stimulate APEX2. PCNA protein is highly conserved during evolution; the deduced amino acid sequences of rat and human differ by only 4 of 261 amino acids. PCNA has been used as loading control for proliferating cells. The calculated molecular weight of PCNA is 29 kDa, but modified PCNA is 36kDa (PMID: 1358458).

 

 

Reviews

Write Your Own Review
You're reviewing:PCNA Monoclonal antibody proteintech 60097-1-Ig
Your Rating
Copyright © 2025 Biogege, Inc. All rights reserved.