NFKB2,p100 Polyclonal antibody proteintech 10409-2-AP

$449.00
In stock
SKU
10409-2-AP

 

Host / Isotype: Rabbit / IgG Class: Polyclonal
Reactivity: Human, Mouse And More (1) Immunogen: CatNo: Ag0662 Product name: Recombinant human NFKB2 protein Source: e coli.-derived, PGEX-4T Tag: GST Domain: 600-899 aa of BC002844 Sequence: GLYPVHLAVRARSPECLDLLVDSGAEVEATERQGGRTALHLATEMEELGLVTHLVTKLRANVNARTFAGNTPLHLAAGLGYPTLTRLLLKAGADIHAENEEPLCPLPSPPTSDSDSDSEGPEKDTRSSFRGHTPLDLTCSTKVKTLLLNAAQNTMEPPLTPPSPAGPGLSLGDTALQNLEQLLDGPEAQGSWAELAERLGLRSLVDTYRQTTSPSGSLLRSYELAGGDLAGLLEALSDMGLEEGVRLLRGPETRDKLPSTEVKEDSAYGSQSVEQEAEKLGPPPEPPGGLCHGHPQPQVH Predict reactive species
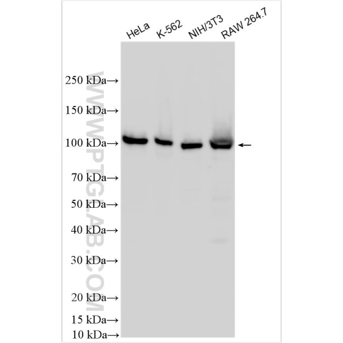
 Applications: WB, IHC, IF/ICC, IP, ELISA Observed Molecular Weight: 97 kDa
Formulation: PBS, Azide, Glycerol GenBank Accession Number: BC002844
Conjugate: Unconjugated Gene Symbol: NFKB2
Tested Applications: Positive WB detected in Gene ID (NCBI): 4791
Application: Western Blot (WB) RRID: ENSG00000077150
Dilution: WB : 1:2000-1:12000 Conjugate: AB_2151261
Tested Reactivity: Human, Mouse Form: Unconjugated
Host / Isotype: Rabbit / IgG Background Information: NF-kappa-B is a pleiotropic transcription factor which is present in almost all cell types and is involved in many biological processed such as inflammation, immunity, differentiation, cell growth, tumorigenesis and apoptosis. NF-kappa-B is a homo- or heterodimeric complex formed by the Rel-like domain-containing proteins RELA/p65, RELB, NFKB1/p105, NFKB1/p50, REL and NFKB2/p52. NFKB2 appears to have dual functions such as cytoplasmic retention of attached NF-kappa-B proteins by p100 and generation of p52 by a cotranslational processing. The proteasome-mediated process ensures the production of both p52 and p100 and preserves their independent function. P52 binds to the kappa-B consensus sequence 5'-GGRNNYYCC-3', located in the enhancer region of genes involved in immune response and acute phase reactions. P52 and p100 are respectively the minor and major form; the processing of p100 being relatively poor. Isoform p49 is a subunit of the NF-kappa-B protein complex, which stimulates the HIV enhancer in synergy with p65. This antibody can bind p100 isoform of NFKB2 spefically, but not p52 isoform.

 

 

Reviews

Write Your Own Review
You're reviewing:NFKB2,p100 Polyclonal antibody proteintech 10409-2-AP
Your Rating
Copyright © 2025 Biogege, Inc. All rights reserved.