Anti-Human Chromogranin A Rabbit Recombinant Antibody Proteintech 98570-1-RR

$299.00
In stock
SKU
98570-1-RR

 

CGA, CHGA, AL-11, Chromogranin-A, EA-92

Formulation::PBS, Azide Formulation::PBS, Azide1
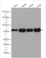
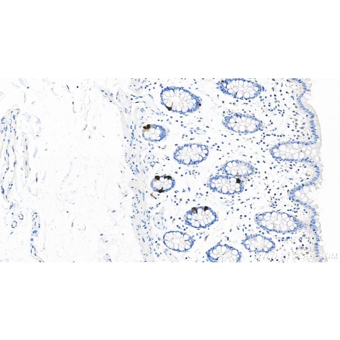
Applications:Immunohistochemistry (IHC) Formulation::PBS, Azide2
 Reactivity:Rabbit / IgG Formulation::PBS, Azide3
Type:CatNo: Eg4794 Product name: recombinant human CHGA protein Source: mammalian cells-derived, pHZ-KIsec-C-rFc Tag: C-rFc Domain: 19-457 aa of BC006459 Sequence: LPVNSPMNKGDTEVMKCIVEVISDTLSKPSPMPVSQECFETLRGDERILSILRHQNLLKELQDLALQGAKERAHQQKKHSGFEDELSEVLENQSSQAELKEAVEEPSSKDVMEKREDSKEAEKSGEATDGARPQALPEPMQESKAEGNNQAPGEEEEEEEEATNTHPPASLPSQKYPGPQAEGDSEGLSQGLVDREKGLSAEPGWQAKREEEEEEEEEAEAGEEAVPEEEGPTVVLNPHPSLGYKEIRKGESRSEALAVDGAGKPGAEEAQDPEGKGEQEHSQQKEEEEEMAVVPQGLFRGGKSGELEQEEERLSKEWEDSKRWSKMDQLAKELTAEKRLEGQEEEEDNRDSSMKLSFRARAYGFRGPGPQLRRGWRPSSREDSLEAGLPLQVRGYPEEKKEEEGSANRRPEDQELESLSAIEAELEKVAHQLQALRRG Predict reactive species Formulation::PBS, Azide4
RRID:1113 Formulation::PBS, Azide5
Storage Buffer:P10645 Formulation::PBS, Azide6
Background Information:Chromogranin A is a member of the granin family of neuroendocrine secretory proteins. It is located in secretory vesicles of neurons and endocrine cells. Chromogranin A is the precursor to several functional peptides including vasostatin, pancreastatin, catestatin and parastatin. These peptides negatively modulate the neuroendocrine function of the releasing cell (autocrine) or nearby cells (paracrine). CgA is one of the most used tumor markers in NET's (neuroendocrine tumors) , and elevated CgA concentrations have been demonstrated in serum or plasma of patients with different types of these tumors. Formulation::PBS, Azide7
biogegep8 Formulation::PBS, Azide8
biogegep9 Formulation::PBS, Azide9
Formulation::PBS, Azide0 Applications:Immunohistochemistry (IHC)0

 

 

Reviews

Write Your Own Review
You're reviewing:Anti-Human Chromogranin A Rabbit Recombinant Antibody Proteintech 98570-1-RR
Your Rating
Copyright © 2025 Biogege, Inc. All rights reserved.